
Missing teeth can be a common problem for adults whether for congenital reasons (born with less teeth ), trauma, gum disease or through untreated decay leading to tooth loss.There are some real risks involved with missing teeth that are not just cosmetic. Replacing missing teeth provides many long-term benefits.
Reasons To Have A Missing Tooth or Teeth Replaced:
1. Impact On Self-Confidence
The gap caused by missing teeth can impact your confidence and self-esteem.
People with missing teeth may cover their mouth when laughing or talking, or avoid smiling..
2. Other Teeth Get Overworked
Every tooth has a purpose whether that is chewing food, or speaking clearly. When teeth are missing it disrupts the balance between the remaining teeth changing the bite pressure. This can result in the remaining teeth facing an increased workload and potentially shifting position or succumbing to wear and tear, and risk of fracture.
3.Teeth can shift
When you have a missing tooth, there is a gap in its place. Naturally, the adjacent teeth will shift towards each other to fill that gap. This shift can lead to misalignment, crooked teeth, impaired chewing, and jawbone strain and the development of TMJ joint problems. Orthodontic treatments would be needed to correct the bite issues. In addition, crooked teeth can create areas where a toothbrush and floss cannot reach, putting your teeth at risk of cavities, gum disease, and infection. Thus, replacing missing teeth can help keep your smile straight and healthy.
4. Bone Structure Can Alter
When a tooth is missing the gum and bone are no longer stimulated and this can lead to the jaw bone shrinking and gum pulling back. Neighboring teeth can be affected, again increasing the risk of further tooth loss. A person’s appearance can also be negatively impacted, the reduced jaw bone making the face appear older with cheeks that are hollow and more likely to sag.
5. You Can Enjoy A Full And Varied Diet Once More
For many, missing teeth stops them enjoying food by limiting what they can eat.
Depending on the treatment chosen for missing teeth, you may find that a full, varied diet is unlocked once more, and food once again is something to enjoy.
Options For Replacing Missing Teeth
There are several options for anyone considering replacing their missing teeth. This is often dependent on a variety of factors such as your current oral health, how many teeth are missing, and budgetary requirements.
The best treatment for you will be discussed during a consultation with one of our dentists.
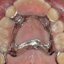
Partial Denture


A partial denture consists of a removable acrylic plate or metal frame holding one or more artificial teeth in place.
Resin-bonded Bridge
This treatment option fixes an artificial tooth to the back of adjacent teeth with metal “wings”. One drawback is that in some cases it is possible to see the metal that holds the artificial tooth in place through the natural supporting tooth. Because they rely strongly on the chemical bond of the metal wing on the tooth they can decement.
Conventional Bridge
A conventional bridge is a fixed artificial tooth that is held in place by crowns on the adjacent teeth. One potential issue to consider though is that it damages the adjacent teeth as they need to be “filed down” to make space for the bridge.
Dental Implant
Dental implants have the highest success rate and are also the option that acts in a way closest to natural teeth. They help maintain the bone levels where teeth have been removed, and no treatment is needed to be carried out to adjacent teeth.
They have a superb success rate and in most cases will last a lifetime. In terms of look and function, they can be treated exactly like a natural tooth.
Although a dental implant may be the most expensive option, the fact that they are a treatment option that typically lasts for the long term helps offset this initial expense.
