If you’ve succumbed to cold and flu symptoms or the dreaded sickness, spare a thought for your poor teeth! From toothache to yellowing and acid attacks, the effects of illness can linger on your smile. Here are the common things that happen to our teeth when we’re under the weather.
1. Dehydration
Vomiting and medication such as decongestants not only dehydrate the body but the mouth, too – and dry mouth is not good news for teeth. But before you stock up on your honey and lemon, lemonade and orange juice – stop right there! They’re the worst things you can inflict on your teeth because they’re so high in acid and sugar. Sip water frequently instead – or, if you must have that comforting drink, sip it through a paper straw, or follow with water to get those sticky ingredients away from your enamel.
2. Vomiting
Vomiting brings your teeth into frequent contact with stomach acid which can cause your tooth enamel to erode, which in turn makes teeth brittle, hypersensitive and vulnerable to decay. But here’s the problem – the first thing you’ll want to do after vomiting is brush your teeth. Don’t! Brushing straight away means you’re simply rubbing the ‘acid’ all round your mouth. Instead, rinse your mouth with water, or with a non-alcoholic fluoride mouth rinse such as FluoriGard. Wait 30 minutes, then brush as normal.
3. Sinus pressure
Heavy colds, flu viruses and sinus infections can all cause toothache, which you may first notice while you’re moving about. You can relieve the pressure by wrapping a warm, wet towel around your nose, cheeks and eyes. However, if the toothache persists beyond your illness, consult your dentist to check it’s not something more serious.
4. Medication
Syrupy, sugary medicines and pastilles dominate the cold and flu shelves at the pharmacy – but they’re really, really bad for your teeth! Seek out sugar-free versions if you can; drink only water; and keep rinsing your mouth to keep gingivitis (inflamed or bleeding gums) and bad breath under control.
5. Lack energy
When all you want to do is crawl under the duvet and stay there, brushing and flossing often fall by the wayside. But this is the worst time to neglect your oral hygiene – it’s your first line of defence against the effects of dehydration, vomiting and medication. Conserve your energy by all means – but rally for just two minutes each morning and evening to get your teeth-cleaning in. You’ll feel better for it, we promise.
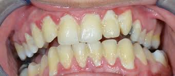
6. Discoloured teeth
If you make it to the mirror in the morning when you’re ill, you may notice your teeth look different – yellower, or mottled. That can be down to the effects of dehydration, sugary medicines that sit on your teeth overnight, or neglecting your brushing while you’re ill. Keep drinking water to stay hydrated, and brush twice a day and remember: spit, don’t rinse, to get the benefits of the fluoride in your toothpaste.
TIPS FOR CARING FOR YOUR TEETH WHEN SICK
- Keep up on your oral hygiene routine-at least brush twice a day
- Don’t share your toothbrush with anyone-you don’t want them ill too
- Stay hydrated-mainly water
- Choose sugar-free cough drops
- Rinse your mouth out after vomiting with water or mouthwash
After a short while you will feel better and if you follow these tips your teeth won’t have deteriorated in the process.
