1. Toothaches Causes, short term solutions, do’s and don’ts
- Millions of UK adults experience toothache. Today we will run through the causes of toothaches,what can be done to relieve the pain in the short term, and when you should come and see your dentist (warning signs)
Causes of Toothaches
- Tooth decay

The most common cause for toothaches. Cavities are caused by poor oral hygiene (failure to brush twice twice a day or floss regularly) or poor diet (high sugar content) . It starts off as a small hole in your tooth and if left untreated will grow deeper and larger as time goes on.
Cavities are, at first, barely noticeable, making them hard to catch early which is why it is important to visit your dentist regularly to catch cavities before they grow. If cavities go untreated, they can infect the tooth and eventually can lead to tooth loss.
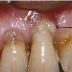
- Dental Abscess

An abscessed tooth is an infection within the tooth that has reached the root tip or around the root. This can result in:
- Swollen gums
- Severe pain
- Possible bone loss at the site of the infection
An abscess can occur for many reasons, such as when a cavity has reached the space lying in the centre of the tooth which is called the pulp chamber, or after your tooth is hit or grinding (trauma), a dental treatment such as a crown that gets too close to the pulp chamber. If you’re experiencing any of these symptoms below, you could have an abscessed tooth and should make an appointment to see your dentist right away:
- Gum swelling
- Redness or darkening of the gums
- Pain when pressing on the affected tooth
- Throbbing pain that shows no improvement after taking pain medications
- Gum disease

Gingivitis is the most common type of gum disease. Gum disease is caused by poor oral hygiene, resulting in plaque buildup. Over time, the bacteria will cause your gums to become red, start to bleed, and begin to swell. While many sufferers of gingivitis feel no discomfort, if the disease is left untreated, it could result in tooth loss. If you believe you have gingivitis or periodontitis (infection of the tissues that hold your teeth in place), schedule a dentist appointment immediately.
- Cracked or damaged tooth

This can occur if you have heavily filled teeth with large fillings in place. Cracks need to be treated quickly because they can extend further and the dentist may not be able to save the tooth.
One of the more obvious causes of toothaches is a dental injury resulting in a broken tooth or knocked out tooth. If this happens to you, make an appointment with your dentist to get the tooth fixed immediately, if it is possible to save it.
- Loose or broken fillings

This can happen if you have an old filling that overtime breaks down and eventually chips/fractures or loosens. This also can happen if you eat something particularly hard or sticky like crusty bread or toffees which can dislodge a filling. If left untreated decay can form if food packs into the cavity and then toothache develops.
6. Wisdom tooth

Pain can develop if your wisdom teeth are trying to erupt in the mouth. If not cleaned regularly bacteria can easily accumulate causing inflammation and infection. This can produce a bad taste in the mouth and a foul odour. If recurrent infections occur they may need to be removed. Wisdom teeth can become impacted which is when they are trapped between neighbouring teeth and your jaw bone. If it is difficult to clean in these cases it does increase the risk of decay forming in the neighbouring teeth causing the risk of both teeth needing to be removed, which is why it is important to visit your dentist regularly to monitor your wisdom teeth.
What you can do to relieve the pain (short term relief)
- Adults should try and rinse their mouths with salt water. Salt is an antiseptic that can also reduce inflammation.
- Take some form of pain relief paracetamol and Non steroidal anti-inflammatories (NAIDs) such as ibuprofen (Motrin, Advil) or naproxen (Aleve), target inflammation and can give you some respite from the pain.Keep in mind, however, that taking ibuprofen over a long period of time can irritate or damage your stomach, kidneys, and liver.
- Eat soft foods until the pain subsides (avoid chewing gum!) and use the other side of your mouth to eat
- Temporary tooth fillings available OTC at pharmacies, and include repair kits for softening the edge of a lost filling or filling a cavity. These repair kits aren’t meant to last long, so you’ll need to contact a dentist to have the temporary filling replaced with a permanent one.
- Ice packs can be helpful for facial swelling or an injury to your mouth. Ice constricts blood vessels, which can reduce pain. You can apply an ice pack or a bag of ice wrapped in a towel to your jaw or face in 15-minute intervals. Don’t eat or chew the ice cubes. The hard ice can damage your teeth even more.
Don’t
- Avoid hot or cold drinks and foods since your teeth may be more sensitive especially if any nerves are exposed.
- Smoke (avoid smoking as this can make some dental problems worse)
- Eat sugary foods
WARNING SIGNS! SEE YOUR DENTIST (NOT YOUR GP!) IF:
- The pain lasts longer than two days
- Pain relief doesn’t work
- Your cheek, jaw and areas of your face are swollen
- You have: Pain when you bite, red gums, bleeding from gums or a bad taste in your mouth
Summary
There are many causes of toothache and if in doubt call your dentist to assess the problem. It is important to see your dentist regularly in order for them to catch problems early to reduce the risk of more complex treatments.
