Your daily diet can significantly influence your oral health, potentially leading to more severe dental issues. Your mouth naturally contains bacteria, some of which are beneficial while others are harmful. Foods and beverages you consume that are high in sucrose (table sugar) allow the harmful bacteria in your mouth to feed on these sugars. In this blog, we’ll discuss where sugar can be found in our diet, the relationship between sugar consumption and the effects it has on your teeth, and advice to help maintain a healthy smile.
Where Can Sugar be found?
- Sugary Snacks:

Chocolates, and other sugar-filled foods, especially those that linger in your mouth, expose teeth to prolonged acid attacks, which can worsen the tooth’s enamel.
- Processed Foods:
Many processed foods, including savoury options like crisps, can contain hidden sugars, affecting your oral health without your knowledge. Ensure you’re checking food labels for added sugars and become aware of their presence.
- Acidity:
As well as sugar, acidic drinks, such as fizzy drinks and fruit juices, have large amounts of acid in them, further weakening tooth enamel and increasing susceptibility to decay.
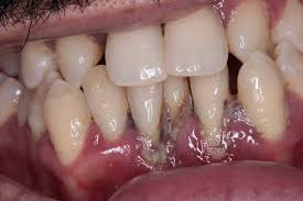
The Effects Of Sugar On Your Teeth:
- Plaque:
The acid and remaining sugars from food and beverages form a sticky, colourless film on your teeth, which is called plaque. Plaque sticks to the tooth’s surfaces, especially in areas that are harder to reach when brushing. The acid in plaque erodes the tooth’s enamel, which is the protective outer layer of your teeth, and despite being the hardest substance in the human body, when damaged by acid, it can lead to weak spots and potentially cavities. - Gum Disease:
The same bacteria that contribute to plaque formation and tooth decay can cause inflammation of the gums, leading to gingivitis. If not addressed, gingivitis can progress to more severe forms of gum disease, potentially resulting in tooth loss.
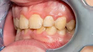
- Cavity Formation:
The erosion of enamel creates an environment prone to cavities, which permanently damages the tooth’s structure. If left untreated, cavities can deepen and lead to severe dental issues like tooth loss.
- Acid Production:
As the bacteria metabolise sugars, they produce acid as a byproduct, and this erodes your enamel.
Protective Measures For Looking After Your Teeth:
- Mindful Consumption: Be conscious of your sugar intake and limit the amount of sugar snacks and drinks you consume, especially between meals. Try to keep sugary treats to mealtimes.
- Opt For Water:
Water can serve as a natural cleanser for your teeth, rinsing the sugar and acids off your teeth. Keep to water especially between meals to reduce the frequency of sugar attacks.
- Choose Your Sugar Intake Wisely:
Opt for vegetables, whole foods, and low-sugar products over processed snacks and high-in-sugar foods. These choices not only contribute to your overall health, but have a reduced amount of sugar, promoting dental well-being.
- Practice good Oral Hygiene:
Brushing your teeth twice a day, using fluoride toothpaste, flossing, and using mouthwash can help to remove plaque and prevent the buildup of harmful bacteria.
- Regular Dental Check-Ups:
Schedule routine dental check-ups with Dr Gill or Dr Fiona at Smiles On Harrogate Road to catch any potential issues early on.
In summary it is vital to understand the impact sugar has on your oral health. Making informed dietary choices, following a good oral hygiene routine, and seeking regular dental checkups can help you prevent any risks associated with sugar consumption and ensure your teeth stay strong for years to come.
